医院动态
21 岁女孩的蜕变:跨越先髋难题 从跛行到从容行走
在人类骨骼系统的众多疾患中,髋关节发育不良以其独特的“伪装”手法,悄然影响着无数人的命运。它可能让一个孩子在学步时出现轻微摇摆,也可能让一个中年人在壮年之际陷入无法忍受的关节疼痛。这种疾病既不快速致命,也不总是立即显现,却用数十年的时间,缓慢的影响着患者的生活质量。
简单来说,先天性髋关节发育不良(DDH)就是髋臼发育偏浅,无法稳稳“托住”股骨头,久而久之容易出现髋关节半脱位或全脱位,不仅会让孩子走路不便,还可能伴随疼痛、下肢不等长,长期忽视还可能引发股骨头坏死、脊柱侧弯等问题,悄悄偷走孩子的自信与快乐。其实,这种疾病并不可怕,关键在于“早发现、早干预”,越早治疗,孩子所受的痛苦越少,恢复效果也越好:
0-6个月:首选髋关节超声筛查,只需佩戴Pavlik吊带进行矫正,成功率就能超过90%,轻松帮宝宝摆脱隐患;
6-18个月:采用闭合复位+石膏固定的方式,大多数孩子都能恢复正常,不影响后续生长发育;
18个月后:随着孩子长大,软组织挛缩会逐渐加重,大多需要通过手术进行干预,才能避免病情恶化;
成年后:关节长期磨损会变得严重,往往需要进行人工关节置换,才能重新恢复正常行走。
在此也温馨提醒各位家长,日常要多留意孩子的身体信号——如果发现宝宝臀纹不对称、双腿长短不一、髋关节外展不方便,或者走路有“鸭步”的情况,一定要重视起来。宝宝出生后42天的体检,务必按时完成髋关节筛查,别让一时的疏忽,耽误了孩子的健康成长。

21岁女孩跛行多年陷自卑
一场手术,重启闪光人
21岁的丹丹,从童年起就被先天性髋关节发育不良困扰着。3岁那年,她不小心摔伤后,髋部就时常隐隐作痛,走路也开始出现轻微的跛行,可当时并未得到及时的医治;13岁时,髋部的疼痛越来越明显,走路的跛行也愈发严重,却依然没能走进医院接受规范治疗。直到一年前,丹丹来到重庆长城骨科医院检查,才正式确诊了病情,可由于家庭经济原因,手术只能暂时搁置。
多年来,下肢不等长让丹丹走路始终一瘸一拐,不仅要忍受日复一日的髋部疼痛,更因为与众不同的步态,渐渐变得自卑敏感。她不敢主动和人交往,不敢穿漂亮的裙子,甚至不敢抬头挺胸地走路,青春本该有的明媚与自信,都被这份病痛悄悄掩盖。今年,在自己的勇气驱使下,丹丹再次来到重庆长城骨科医院关节外科,迫切地希望能摆脱病痛,找回属于自己的自信。
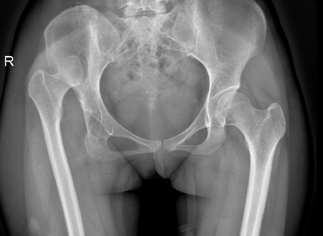
经过详细检查,医生发现丹丹的右侧髋臼已严重磨损,右下肢比左侧缩短了2.5cm,髋关节也出现了脱位,已经具备明确的手术指征,唯有通过手术,才能彻底解决她的困扰。

(X片显示右髋关节已明显存在脱位情况)
多学科精准攻坚
用专业守护每一份期待
了解到丹丹的病情和心愿后,重庆长城骨科医院关节外科没有丝毫懈怠,迅速启动了多学科会诊。院长、骨科主任张伟,关节外科主任詹学锋带领团队,一遍遍细致评估丹丹的病情,耐心倾听她的诉求,最终为她制定了专属的个体化手术方案——实施右侧人工全髋关节置换术,同时备股骨粗隆下截骨减张、钢丝固定,术中全程精细操作,小心翼翼保护血管神经,全力预防各类并发症的发生,只为给丹丹最安全、最有效的治疗。

(关节外科组织术前多学科会诊)
术前,医护团队不仅认真完善了各项检查,还一次次和丹丹沟通手术流程、术后康复计划,温柔地安抚她的紧张情绪,缓解她的焦虑,让她感受到满满的安心与力量。手术当天,在椎管内麻醉下,整个手术顺利开展,医护团队精准把控每一个细节,精准调整截骨平面与假体角度,成功解决了困扰丹丹多年的髋关节脱位与下肢不等长问题,为她重新站立、自信行走奠定了坚实基础。

(主管医生与丹丹进行术前沟通 缓解紧张情绪)

(院长张伟带队为丹丹进行髋关节置换)
医护康一体化
用温暖照亮康复之路
手术的成功,只是康复的开始。术后,重庆长城骨科医院关节外科推行无陪护优质护理+早期康复一体化模式,用细致的关怀,陪伴丹丹走过每一步康复之路。专业的护理团队24小时全程值守,细心照护她的饮食起居,密切监测身体状况,及时预防感染、血栓等并发症的发生;康复理疗师在术后24小时就及时介入,根据丹丹的恢复情况,为她定制了个性化的康复方案,耐心指导她进行功能训练,一点点帮助她恢复关节功能。

(关节外科主任詹学锋对丹丹进行术后查房)
医护人员们像家人一样,时刻关心着丹丹的恢复情况,一句句鼓励的话语,一个个贴心的举动,都让她倍感温暖,也让她更加坚定了康复的信心。如今,丹丹的髋部疼痛逐渐消失,步态也将慢慢恢复正常,再也不用一瘸一拐地走路。曾经那个自卑敏感的女孩,终于可以摆脱病痛的枷锁,重新找回自信,脸上也露出了久违的笑容,能够坦然地社交、勇敢地追求自己的青春与梦想。她满心感激地说:“选择重庆长城骨科医院,是我这辈子最正确的决定,是这里的医护人员,给了我重新行走的机会,也给了我全新的人生。”

(术后第二天丹丹在医护康的协作下 下地行走)

(住院期间护理人员像家人般照顾丹丹)
技术与关怀并重
用爱守护每一份行走的希望
重庆长城骨科医院关节外科,多年来深耕骨关节疾病诊疗领域,始终专注于复杂髋关节发育不良、股骨头坏死、髋膝关节炎等疑难病例的诊治,拥有成熟的人工关节置换与矫形技术,凭借精准的手术操作、高效的多学科协作,为一位位患者送去健康。
科室始终坚守“以患者为中心”的初心,将精湛的医术与温暖的人文关怀紧密结合,构建起“诊疗-手术-护理-康复”全流程闭环服务,从就医到康复,每一个环节都充满温度,全力助力患者快速恢复行走功能,重获生活的底气。未来,科室将继续精进技术、优化服务,用专业与热爱,为更多骨关节疾病患者解除病痛,守护每一份行走的希望,让每一位患者都能自信、从容地走向属于自己的美好未来。
副主任医师 重庆长城骨医院院长兼骨科主任

硕士研究生,毕业于重庆医科大学临床医学专业,曾赴北京积水潭医院等国内权威医疗机构进修学习,从事手足显微外科专业十余年,发表多篇医学核心期刊文章,拥有深厚的专业积累与科研能力。
擅长诊疗:手足创伤,断指(趾)、断肢再植,四肢(闭合)开放性骨折,四肢软组织缺损创面修复。擅长手足先天性畸形,手功能重建,手足骨缺损及周围神经疾病诊治。
副主任医师 重庆长城骨医院院长兼骨科主任

硕士研究生,毕业于重庆医科大学临床医学专业,曾赴北京积水潭医院等国内权威医疗机构进修学习,从事手足显微外科专业十余年,发表多篇医学核心期刊文章,拥有深厚的专业积累与科研能力。
擅长诊疗:手足创伤,断指(趾)、断肢再植,四肢(闭合)开放性骨折,四肢软组织缺损创面修复。擅长手足先天性畸形,手功能重建,手足骨缺损及周围神经疾病诊治。
上一篇:Mini外支架巧治小指病理性骨折,15岁少年跨省求医重获手功能
下一篇:没有了












渝公网安备 34100202000128号