保健常识
叔侄同患股骨头坏死 重庆长城骨科医院精准施治助康复
△术后,两叔侄在康复师帮助下进行康复锻炼
十年病痛缠叔侄 结伴求医寻希望
家住綦江区的杨叔叔,五年前便遭遇髋关节疼痛的困扰,日常活动受限的他只能依靠口服止痛药缓解不适,却始终收效甚微。近一年来,他的双髋关节功能障碍愈发严重,左侧髋关节尤为突出,走路一瘸一拐的状态严重影响了正常生活。
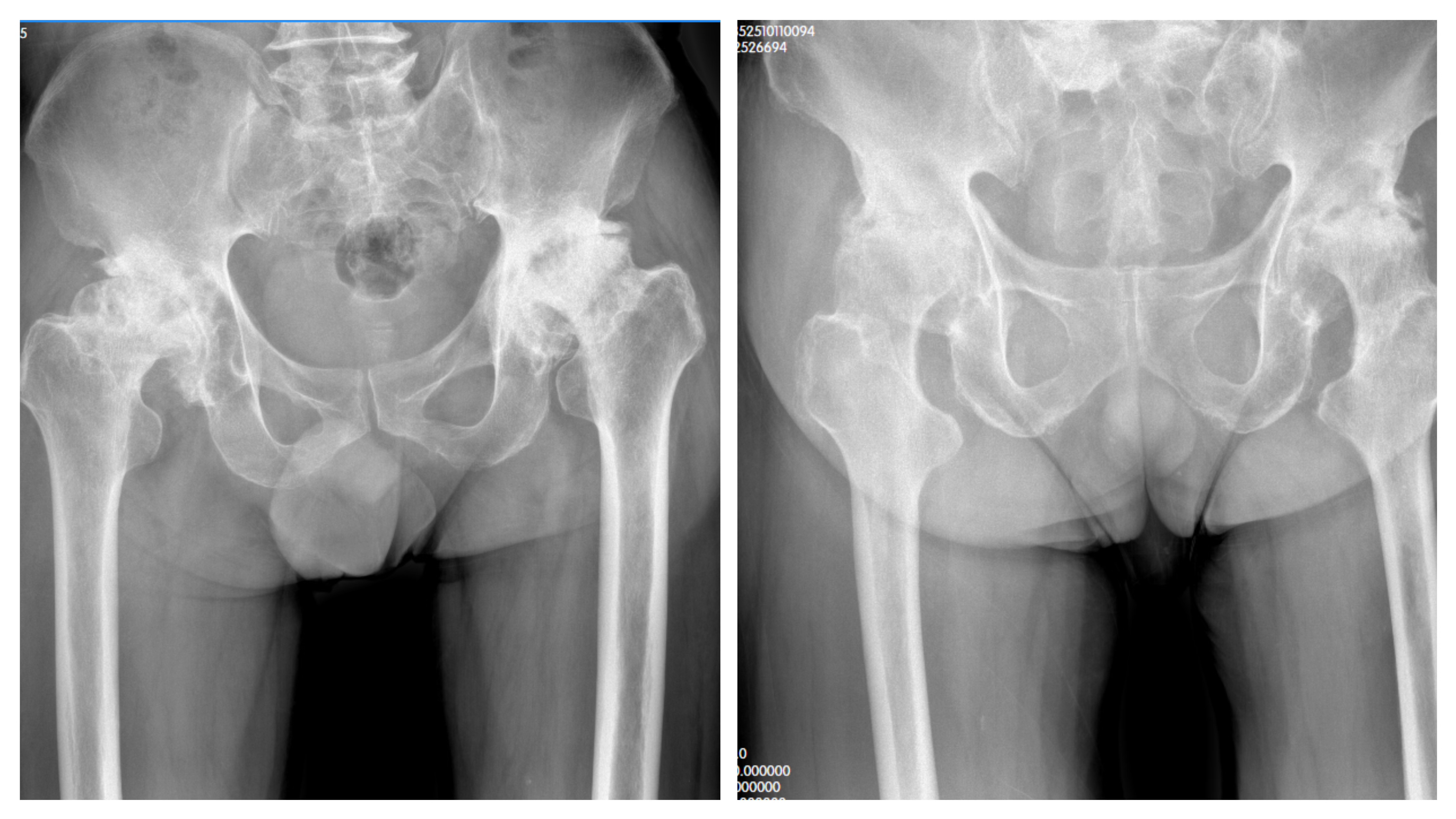
△两叔侄检查结果提示:“股骨头缺血性坏死”
在筹备就医时,杨叔叔想起自己79岁的亲叔叔杨爷爷,同样被髋关节疼痛折磨了整整十年,病情更为严峻。除了双髋功能活动障碍逐年加重、伴随跛行外,杨爷爷还出现了下肢短缩的情况,生活自理都成了难题。为了获得专业治疗,叔侄二人商量后,决定一同前往重庆长城骨科医院关节外科就诊。经门诊详细检查,两人均被确诊为“股骨头缺血性坏死”,并被收治住院。
多学科会诊定方案 个性化手术解难题
考虑到两人的亲属关系,医院护理团队特意将他们安排在同一间病房,方便彼此照应。关节外科专家团队则针对叔侄二人的具体病情,迅速开展多学科会诊。
“杨爷爷左侧股骨头坏死伴随肢体短缩,诊断明确,手术指征清晰,但他曾有腔隙性脑梗死病史,术中术后需重点监测生命体征。”关节外科主任詹学锋在会诊中强调。为此,专家团队为杨爷爷量身定制了精细化手术方案,采用生物型假体进行置换,既保证手术效果,也为未来可能的翻修手术预留空间。同时,团队还为叔侄二人制定了涵盖预防感染、消肿止痛、功能锻炼的全方位术后康复计划,全力防范术后并发症。
在完善各项术前准备后,医院顺利为两叔侄先后实施了左侧人工全髋关节置换术。令人惊喜的是,术后仅三小时,在医护团队的协助下,叔侄二人便能成功下地行走。“手术刚做完没多久,困扰多年的疼痛就消失了,真的太神奇了!”杨叔叔对手术效果赞不绝口,连连称赞医院的专科技术。
精准康复促恢复 七天达标顺利出院
术后第二天,康复团队便根据叔侄二人的恢复情况,制定了个性化康复锻炼计划,通过专业指导帮助他们逐步恢复关节功能。在医护人员的精心照料和耐心指导下,两人的恢复进展十分迅速。

△术后主管医生卿明强对两叔侄进行日常查房
术后第七天,经过全面评估,叔侄二人均达到出院标准。出院时,他们的步态已明显改善,髋关节疼痛完全消失,生活质量得到了显著提升。“终于可以正常走路了,感谢医院的专家和护士们,是你们给了我们重新享受生活的机会!”娄爷爷握着医护人员的手,激动地说道。
专家提醒早干预 专科实力护健康
詹学锋主任提醒,股骨头缺血性坏死是一种进展性疾病,早期诊断和科学干预至关重要。对于保守治疗无效的患者,人工关节置换术是恢复关节功能的有效手段。随着医疗技术的不断进步,现代人工关节置换术具有创伤小、恢复快、假体寿命长等优势,能帮助患者早日回归正常生活。
作为专注骨科领域的专科医院,重庆长城骨科医院凭借多学科协作模式和个性化治疗理念,已为众多关节疾病患者提供了优质医疗服务。此次叔侄二人的成功康复,再次印证了该院在关节外科领域的坚实技术实力,也为更多同类患者带来了康复希望。
上一篇:八旬婆婆双膝关节病痛十余年 长城骨科精准治疗助其重获行走自由
下一篇:没有了













渝公网安备 34100202000128号