保健常识
腰痛知识知多少——我院麻醉科为您科普
疼痛是与损伤相关的、不愉快的感觉体验。疼痛是机体的感觉功能之一,是机体对内外损伤的反应,可伴随情绪反应。
曾有人说:“疼痛是上天送给人类的礼物,因为有了疼痛,人类可以及时躲避伤害性刺激,从而避免更大的伤害。”大部分急性疼痛是机体的“报警”功能,是症状,不是疾病,有助于早期发现疾病并治疗。对于已经明确原发疾病导致的疼痛,经过系统治疗,但疼痛仍长期“报警”,导致“心身”功能障碍,超过3个月的,则称为慢性疼痛。在慢性疼痛患者中,慢性腰腿痛患者占很01
腰椎小关节综合征
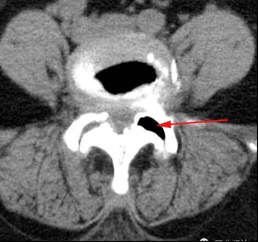
腰部损伤,伤后立即发生异乎寻常的剧烈腰痛。患者往往屈身侧卧,腰不能挺直,不敢动弹,唯恐别人触碰,常被误诊为急性腰肌扭伤。其实,确切的诊断应是腰椎关节滑膜嵌顿,或叫腰椎小关节紊乱症,俗称小关节紊乱。此外,腰椎小关节慢性退变,关节软骨磨损、骨质增生、关节囊纤维化、关节腔狭窄、关节突内聚等病因造成小关节慢性损伤,刺激脊神经内侧支所致疼痛,为慢性腰椎小关节综合征。慢性腰椎小关节综合征患者远远多于急性损伤患者。下图中可见模型中已经CT中小关节的位置。大比例。那么腰腿痛最常见的病因是什么?


小关节损伤模型示意图(左图)小关节损伤CT(右图)
对于急性腰椎小关节综合征的患者,手法治疗是本病的有效疗法。对于慢性小关节退变所致损伤,可行脊神经内侧支阻滞缓解腰部疼痛。对于已经采用过多次阻滞,疼痛仍然严重的患者,可采用脊神经内侧支射频治疗。
02
腰背肌筋膜炎
腰背肌筋膜炎是指因寒冷、潮湿、慢性劳损使腰背部肌筋膜及肌组织发生水肿、渗出及纤维变性而出现的一系列临床症状。老百姓说的腰疼又犯了,很大可能是腰背肌筋膜炎所致。
潮湿、寒冷的气候环境,是最多见的原因之一,湿冷可使腰背部肌肉血管收缩,缺血,最终形成纤维织炎,慢性劳损为另一重要发病因素,腰背部肌肉,筋膜受损后发生纤维化改变,从而出现微小的撕裂性损伤,挤压局部的毛细血管和末梢神经出现疼痛。其他如经常一个姿势坐着、缺少相应的活动、久坐电脑前及病毒感染、风湿症的肌肉变态反应等都是诱因。
主要表现为腰背部弥漫性钝痛,尤以两侧腰肌及髂嵴上方更为明显。局部疼痛、发凉、皮肤麻木、肌肉痉挛和运动障碍。晨起痛,日间轻,傍晚复重,长时间不活动或活动过度均可诱发疼痛,病程长,且因劳累及气候变化而发作。
治疗旨在解除病因,注意保暖,局部热敷,防止受凉。急性期注意休息。药物治疗包括消炎镇痛药(如消炎痛、布洛芬等)、维生素类。急性期疼痛,可采用痛点神经阻滞治疗,效果确切,配合局部热敷及按摩,有助于减轻炎症,防止疼痛复发。
03
腰椎间盘突出
腰椎间盘突出症是常见的疾患,主要是因为腰椎间盘各部分老化退变后,在外力因素的作用下,椎间盘的纤维环破裂,髓核组织从破裂之处突出于后方或椎管内,导致相邻脊神经根受刺激或压迫,从而产生腰部疼痛,一侧下肢或双下肢麻木、疼痛等一系列临床症状,MRI上可以清楚的看见突出的椎间盘。

腰椎间盘突出MRI
腰椎间盘突出症以腰4-5、腰5-骶1发病率最高,约占95%。腰痛是大多数患者最先出现的症状,发生率约91%。下肢放射痛,典型表现是从下腰部向臀部、大腿后方、小腿外侧直到足部的放射痛,在喷嚏、咳嗽、用力排便等情况下疼痛会加剧。放射痛的肢体多为一侧,仅极少数中央型或中央旁型髓核突出者表现为双下肢症状。少数中央型突出患者表现为大、小便障碍,会阴和肛周感觉异常,严重者可出现大小便失控及双下肢不完全性瘫痪等症状。


腰椎间盘突出症大多数患者可以经非手术治疗缓解或治愈。原理是改变椎间盘组织与受压神经根的相对位置或部分回纳,减轻对神经根的压迫,松解神经根的粘连,消除神经根的炎症,从而缓解症状。
主要适用于:
①年轻、初次发作或病程较短者;
②症状较轻,休息后症状可自行缓解者;
③影像学检查无明显椎管狭窄的患者。
初次发作时,应严格卧床休息,强调大、小便均不应下床或坐起。卧床休息3周后可以佩戴腰围保护下起床活动,3个月内不做弯腰持物动作。缓解后,应加强腰背肌锻炼,以减少复发的几率。
牵引治疗,采用骨盆牵引,可以增加椎间隙宽度,减少椎间盘内压,椎间盘突出部分回纳,减轻对神经根的刺激和压迫,需要专业医生指导下进行。理疗和推拿、按摩可缓解肌肉痉挛,减轻椎间盘内压力,但注意暴力推拿按摩可以导致病情加重,应慎重。
腰椎间盘突出症的预防及康复:保持良好坐姿,床不宜太软。长期伏案工作者需要注意桌、椅高度,定期改变姿势。职业工作中需要常弯腰动作者,应定时伸腰、挺胸活动,并使用宽的腰带。应加强腰背肌训练,增加脊柱的内在稳定性,长期使用腰围者,尤其需要注意腰背肌锻炼,以防止肌肉废用性萎缩带来不良后果。如需弯腰取物,最好采用屈髋、屈膝下蹲方式,减少对腰椎间盘后方的压力。












渝公网安备 34100202000128号